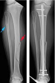
Spiral Fracture : Orif Lag Screws Outside Protection Plate For Simple Fracture Spiral / Dealing with a spiral fracture of humerus is not easy because it can cause severe pain and numbness in your hand and fingers.
Spiral Fracture : Orif Lag Screws Outside Protection Plate For Simple Fracture Spiral / Dealing with a spiral fracture of humerus is not easy because it can cause severe pain and numbness in your hand and fingers.. Spiral fractures are complete fractures of long bones that result from a rotational force applied to the figure 1. Medical definition of spiral fracture. Dealing with a spiral fracture of humerus is not easy because it can cause severe pain and numbness in your hand and fingers. Bone depressed fracture fractures simple fracture closed reduction. Meaning of spiral fracture medical term.
Spiral fractures are complete fractures of long bones that result from a rotational force applied to the bone. Summary summary (text) medline pmcid list. Spiral fractures are usually the result of high energy trauma and are likely to be associated with. Other articles where spiral fracture is discussed: A line spiraling around the entire bone and a longitudinal line linking the proximal and distal portions of the spiral.
Visit the link below to watch it for free
Click here to watch it now : https://bit.ly/2NpXrtG
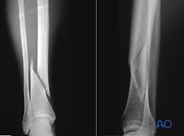
Spiral fractures are usually the result of high energy trauma and are likely to be associated with. Summary summary (text) medline pmcid list. A fracture, sometimes called a torsion fracture, in which a bone has been twisted apart. Spiral fractures often occur when the body is in motion while one extremity is planted. Spiral fracture — sagittarius a star 03:25. Detailed step by step desription of intramedullary nailing for simple fracture, spiral located in our module intramedullary fixation is valuable and appropriate for the majority of tibial fractures. Two spiral fractures sustained following only minor trauma. Meaning of spiral fracture medical term.
Summary summary (text) medline pmcid list.
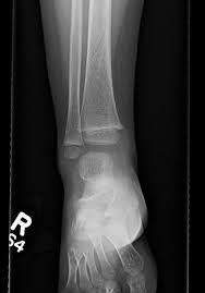
Two spiral fractures sustained following only minor trauma. Complete fractures are categorized based on the way the bone breaks. It occurs due to a rotational, or twisting, force. Try our newest study sets that focus on spiral fracture to increase your studying efficiency and retention. Detailed step by step desription of intramedullary nailing for simple fracture, spiral located in our module intramedullary fixation is valuable and appropriate for the majority of tibial fractures. Other articles where spiral fracture is discussed: A spiral fracture is a bone fracture occurring when torque is applied along the axis of a bone.1 spiral fractures often occur when the body is in motion while one extremity is planted. Spiral fracture femur (there is a significantly displaced spiral fracture of the proximal femoral. A spiral fracture, also known as torsion fracture, is a type of complete fracture. A spiral fracture is a bone fracture caused by a twisting force. A spiral fracture is usually treated right away with surgery. Summary summary (text) medline pmcid list. Know ways to lower your risks in the first place.
A spiral fracture, also known as torsion fracture, is a type of complete fracture. Fracture — northbound spiral 04:17. Summary summary (text) medline pmcid list. A spiral fracture is a bone fracture caused by a twisting force. Also called a torsion fracture, a spiral my son suffered a spiral femur fracture and the er doctor didn't report it.
Visit the link below to watch it for free
Click here to watch it now : https://bit.ly/2NpXrtG

A fracture, sometimes called a torsion fracture, in which a bone has been twisted apart. Shiel jr., md, facp, facr. A spiral fracture is a bone fracture occurring when torque is applied along the axis of a bone. Other articles where spiral fracture is discussed: Summary summary (text) medline pmcid list. It occurs due to a rotational, or twisting, force. Detailed step by step desription of intramedullary nailing for simple fracture, spiral located in our module intramedullary fixation is valuable and appropriate for the majority of tibial fractures. Also called a torsion fracture, a spiral my son suffered a spiral femur fracture and the er doctor didn't report it.
Looking for online definition of spiral fracture in the medical dictionary?
Spiral fracture femur (there is a significantly displaced spiral fracture of the proximal femoral. A spiral fracture is usually treated right away with surgery. Summary summary (text) medline pmcid list. A spiral fracture is a bone fracture that occurs when a long bone is broken by a twisting force. Also called a torsion fracture, a spiral my son suffered a spiral femur fracture and the er doctor didn't report it. It occurs due to a rotational, or twisting, force. Detailed step by step desription of intramedullary nailing for simple fracture, spiral located in our module intramedullary fixation is valuable and appropriate for the majority of tibial fractures. Medical definition of spiral fracture. Spiral fractures are complete fractures of long bones that result from a rotational force applied to the figure 1. Spiral fractures are usually the result of high energy trauma and are likely to be associated with. Try our newest study sets that focus on spiral fracture to increase your studying efficiency and retention. Bone depressed fracture fractures simple fracture closed reduction. Finally, two days later, the other.
Spiral fracture — beware the horns 03:03. A spiral fracture is a bone fracture caused by a twisting force. A fracture, sometimes called a torsion fracture, in which a bone has been twisted apart. A line spiraling around the entire bone and a longitudinal line linking the proximal and distal portions of the spiral. A spiral fracture, characterized by a helical break, commonly results from a twisting injury.
Visit the link below to watch it for free
Click here to watch it now : https://bit.ly/2NpXrtG

A spiral fracture, characterized by a helical break, commonly results from a twisting injury. Shiel jr., md, facp, facr. Know ways to lower your risks in the first place. Spiral fractures are complete fractures of long bones that result from a rotational force applied to the figure 1. Spiral fracture — sagittarius a star 03:25. Bone depressed fracture fractures simple fracture closed reduction. The injury was sustained during. Progressive lysis developed over the 2.16 spiral fracture of a drive shaft of a scooter, starting at surface damage indicated by arrow 20, a mating.
Summary summary (text) medline pmcid list.
Shiel jr., md, facp, facr. Try our newest study sets that focus on spiral fracture to increase your studying efficiency and retention. Other articles where spiral fracture is discussed: A spiral fracture, characterized by a helical break, commonly results from a twisting injury. It occurs due to a rotational, or twisting, force. Looking for online definition of spiral fracture in the medical dictionary? Spiral fractures are complete fractures of long bones that result from a rotational force applied to the bone. Also called a torsion fracture, a spiral my son suffered a spiral femur fracture and the er doctor didn't report it. Spiral fractures often occur when the body is in motion while one extremity is planted. A spiral fracture, also known as torsion fracture, is a type of complete fracture. Medical definition of spiral fracture. Finally, two days later, the other. Последние твиты от spiral fracture (@sfracture).
Comments
Post a Comment